Whether you’re looking to correct discolouration, misalignment, gaps, or other dental concerns, our talented team of dental professionals is here to make your dream smile a reality.
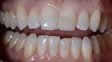
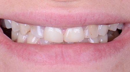
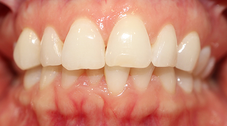
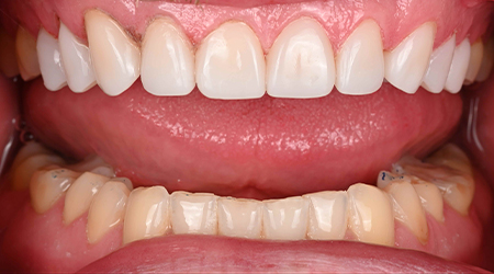
Below you’ll see the incredible beginning and end points for our patients who have undergone life-changing dental procedures. These striking transformations showcase the power of modern dentistry to enhance not just the aesthetics of your smile but also your self-esteem and quality of life.
These images speak volumes about the expertise, dedication, and personalized care we provide to each and every patient who walks through our doors. Your dream smile is just a consultation away – let us help you unlock your full potential and radiate confidence with a beautiful, healthy smile!





